Thursday, April 16, 2026
HomeEnfermedades ComunesDiabetes5 Síntomas extraños que podrían ser signos tempranos de diabetes

5 Síntomas extraños que podrían ser signos tempranos de diabetes

 Muchas personas que desarrollan diabetes tipo 2 no tienen idea de que están enfermos hasta que un análisis de sangre muestre niveles anormales de azúcar en la sangre o hasta que la enfermedad progrese y comiencen a ocurrir complicaciones graves. “En su mayor parte, la diabetes es silenciosa e insidiosa”, dice Ronald Tamler, MD, director del Instituto de Diabetes Clínica Mount Sinai. “La mayoría de las veces las personas no tienen síntomas desde el principio”.En algunos casos, sin embargo, hay signos furtivos. Algunos síntomas tempranos de la diabetes son bien conocidos: sed constante, exceso de orina o aumento o pérdida de peso repentina, por ejemplo. Otros, como los que se muestran a continuación, son más fácilmente olvidados por los profesionales médicos y los pacientes por igual. Si está experimentando alguno de estos, asegúrese de hablar con su médico.

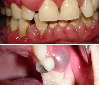
5 Síntomas extraños 2Encías inflamadas o infectadas 

La periodontitis, también conocida como enfermedad de las encías, puede ser un signo temprano de diabetes tipo 2, según una nueva investigación publicada en la revista BMJ “Open Diabetes Research & Care”. El estudio encontró que las personas con enfermedad de las encías, especialmente aquellas con casos severos, tenían tasas más altas de diabetes (tanto diagnosticadas como no diagnosticadas) y pre-diabetes que las que no tenían.La conexión entre la enfermedad de las encías y la diabetes no es nueva, dice el Dr. Tamler, y parece ir en ambos sentidos: Tener ambas afecciones parece aumentar el riesgo de desarrollar la otra. “La inflamación causada por la enfermedad de las encías huele a los mismos factores que son responsables del alto nivel de azúcar en la sangre que causa la diabetes”, dice.

 5 Síntomas extraños 3Decoloración de la piel 

“Mucho antes de que realmente tenga diabetes, puede notar una decoloración oscura en la parte posterior de su cuello”, dice el Dr. Tamler. Esto se llama acantosis nigricans, y generalmente es un signo de resistencia a la insulina, una pérdida de sensibilidad a la hormona que el cuerpo usa para regular la glucosa, que finalmente puede conducir a una diabetes en toda regla.En casos raros, la acantosis nigricans también puede ser causada por quistes ováricos, trastornos hormonales, tiroideos o cáncer. Ciertos medicamentos y suplementos, incluso píldoras anticonceptivas y corticosteroides, también pueden ser responsables.

5 Síntomas extraños 4Extrañas sensaciones en tus pies

Alrededor del 10% al 20% de las personas que son diagnosticadas con diabetes ya tienen algún daño en los nervios relacionado con la enfermedad. En las primeras etapas, esto puede ser apenas perceptible, dice el Dr. Tamler: “Es posible que sienta un cosquilleo eléctrico extraño en los pies, o que tenga una sensación disminuida o un equilibrio disminuido”.Por supuesto, estas extrañas sensaciones podrían ser causadas por algo tan simple como usar tacones altos o estar de pie en un lugar por mucho tiempo. Pero también pueden ser causados ​​por otras afecciones graves, como la esclerosis múltiple, por lo que es importante que se las menciones a tu médico.

5 Síntomas extraños 5

 

Pérdida de audición o visión

Los niveles elevados de azúcar en la sangre pueden dañar sus retinas y hacer que los niveles de fluidos alrededor de sus globos oculares fluctúen, dejándolo con visión borrosa o dañada.
Una vez que los niveles de azúcar en la sangre vuelven a la normalidad, la vista generalmente se restablece, pero si la diabetes no se controla durante demasiado tiempo, el daño puede volverse permanente.Del mismo modo, el nivel alto de azúcar en la sangre también puede afectar las células nerviosas en el oído y causar problemas de audición. “Es algo de lo que poca gente habla, pero los audiólogos experimentados saben que debe buscar la conexión”, dice el Dr. Tamler. “Definitivamente es algo que verifico durante mis exámenes físicos”.

5 Síntomas extraños 6Siestas largas

En una revisión científica presentada el año pasado en la reunión anual de la Asociación Europea para el Estudio de la Enfermedad, las personas que tomaron siestas durante el día más de una hora tenían un 45% más de probabilidades de tener diabetes tipo 2 en comparación con aquellas que dormitaban menos o nada.

No es probable que dormir durante el día en realidad cause diabetes, dicen los autores del estudio. Pero dicen que puede ser una señal de advertencia de un problema subyacente, como la falta de sueño, la depresión o la apnea del sueño, todas las afecciones asociadas con un mayor riesgo de diabetes.

ARTÍCULOS RELACIONADOS
Dr. Benjamin Díaz Curiel

Lo más leido